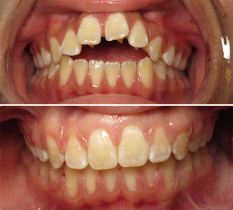
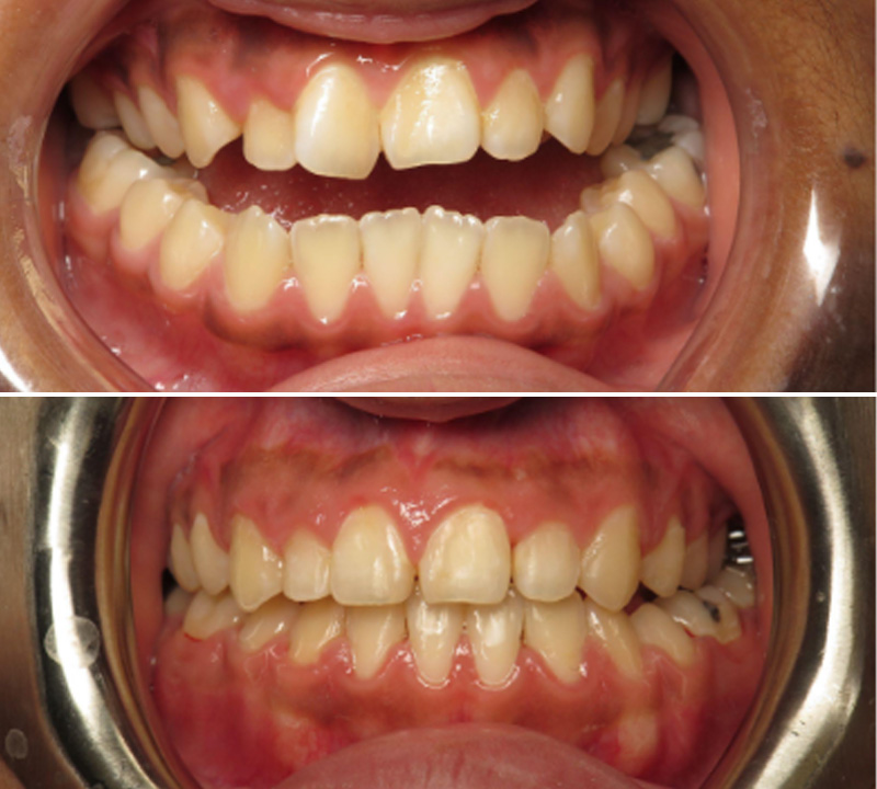
World Class Dentistry

in Your Neighborhood!


FREE COSMETIC OR BRACES CONSULTATION

Most Affordable Prices in Oxnard, CA

Learn More about how Cosmetic or FASTBRACESĀ® can enhance your smile
See Our Special Offers

Dental Designs Dental Offer